Aplio Flex & Aplio go
Aplio flex | Máy siêu âm di động chính hãng Canon Medical – Hình ảnh sắc nét, linh hoạt tối đa
Aplio flex là máy siêu âm di động thế hệ mới của Canon Medical, kết hợp giữa hình ảnh siêu âm chất lượng cao, quy trình làm việc thông minh và tính di động vượt trội. Đây là giải pháp lý tưởng cho các phòng khám, bệnh viện cần thiết bị siêu âm chính hãng, đa năng, bền bỉ và dễ sử dụng.
Điểm nổi bật của máy siêu âm Aplio flex
Chất lượng hình ảnh sắc nét vượt trội
-
Aplio flex mang lại hình ảnh nguyên bản, rõ ràng, sắc nét đáng kinh ngạc.
-
Tích hợp nhiều tùy chọn tối ưu hóa hình ảnh từ danh mục cao cấp của Canon Medical.
-
Hiệu suất vững chắc, đảm bảo hiệu quả ổn định trên toàn bộ danh mục ứng dụng siêu âm.
Tính di động tuyệt vời, thiết kế thông minh
-
Trọng lượng nhẹ, kích thước nhỏ gọn, dễ di chuyển trong môi trường lâm sàng chật hẹp.
-
Thiết kế mỏng, dễ thao tác quanh giường bệnh hoặc phòng siêu âm nhỏ.
-
Tay cầm tiện lợi, bánh xe lớn dễ lăn, tăng khả năng cơ động.
Quy trình làm việc thông minh, hiệu quả
-
Bảng điều khiển trực quan, màn hình cảm ứng nhạy theo chế độ.
-
Bi lăn trung tâm giúp điều hướng dễ dàng, rút ngắn thời gian khám.
-
Tích hợp chức năng tự động và quy trình thông minh, lý tưởng cho phòng khám bận rộn.
Ứng dụng lâm sàng đa dạng, công nghệ tiên tiến
-
Hỗ trợ chẩn đoán bụng, gan (với ATI), túi mật, thận (ADF Color), tuyến giáp (Cine), mạch máu (Carotid CDI)…
-
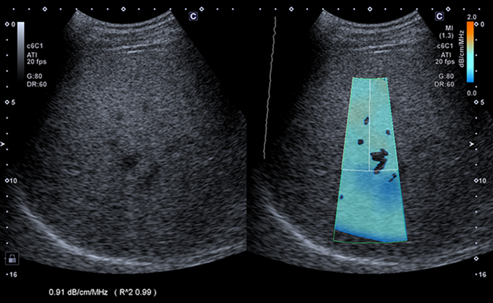
Tích hợp Attenuation Imaging (ATI) giúp trực quan hóa hệ số suy giảm, hỗ trợ đánh giá gan nhiễm mỡ.
-
Hỗ trợ Doppler màu nhạy, Doppler mô, tính toán thể tích và phân suất tống máu.

Phép đo IMT động mạch cảnh tự động cho phép bạn thực hiện đo đạc nhanh chóng và ổn định ngay khi hình ảnh bị nhiễu, làm cho phép đo trở nên đơn giản. Bạn có thể đo độ dày dễ dàng hơn.

Tại sao chọn HDT Medical?
✅ Nhà phân phối chính thức thiết bị Canon Medical tại Việt Nam.
✅ Sản phẩm chính hãng, đầy đủ CO/CQ.
✅ Bảo hành chuẩn hãng, dịch vụ kỹ thuật 24/7 toàn quốc.
✅ Hỗ trợ đào tạo, hướng dẫn sử dụng tại cơ sở.
Liên hệ với HDT Medical
Service Hotline: 098.592.0089 (Mr Ngọc)
App Hotline: 038.486.2313 (Ms Luyến)
Fangape: https://www.facebook.com/canonmedical.com.vn
Email: hdtmedical.jsc@gmail.com
