Aplio a450
Aplio a450 là một giải pháp giàu tính năng có thể được điều chỉnh quy mô để phù hợp với cả danh mục chẩn đoán rộng nhất. Chất lượng hình ảnh cao cấp và hoạt động trực quan kế thừa từ thiết bị hàng đầu của Canon Medical giúp bạn đảm bảo năng suất và công suất vượt trội. Các công nghệ hình ảnh tiên tiến giúp nâng cao hơn nữa sự tự tin lâm sàng của bạn cho những trường hợp đòi hỏi khắt khe nhất.
Hỗ trợ các giao thức tiêu chuẩn hoặc do người dùng thiết lập cho thăm khám gắng sức về thể chất và dùng thuốc, Aplio cung cấp một gói toàn diện để đánh giá vận động của vùng cơ tim nhanh chóng và chính xác.
Tăng cường sự tự tin lâm sàng của bạn
Các công nghệ hình ảnh mạnh mẽ của Aplio cung cấp cho bạn chất lượng hình ảnh tốt hơn với giảm nhiễu, tăng cường tín hiệu và cải thiện khả năng hiển thị. Kiến trúc aBeam độc đáo của Aplio a-series, đảm bảo rằng tất cả các công nghệ hình ảnh độc đáo của Aplio hoạt động liền mạch với nhau để có tính đồng nhất cao hơn trên tất cả các ứng dụng.

Trợ lý giao thức lâm sàng của Aplio cung cấp một phương pháp đáng tin cậy để đảm bảo rằng các thăm khám phức tạp được thực hiện một cách nhất quán hết bệnh nhân này đến bệnh nhân khác. Sau khi được kích hoạt, một menu rõ ràng, dễ đọc sẽ hướng dẫn bạn từng bước trong toàn bộ bài kiểm tra.
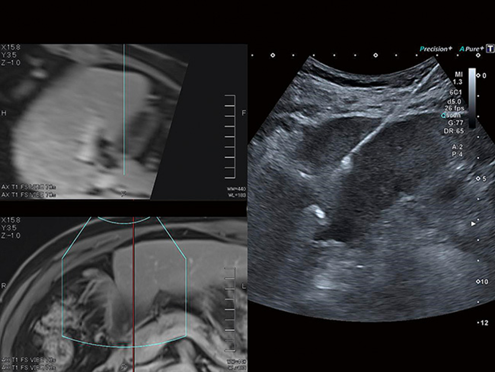
Smart Fusion hợp nhất siêu âm thời gian thực với dữ liệu CT, MR hoặc siêu âm đã thu được trước đó, cho phép bạn xác định và so sánh các tổn thương một cách dễ dàng và điều hướng giải phẫu phức tạp một cách tự tin.





